Skip to main content
U.S. flag

An official website of the United States government

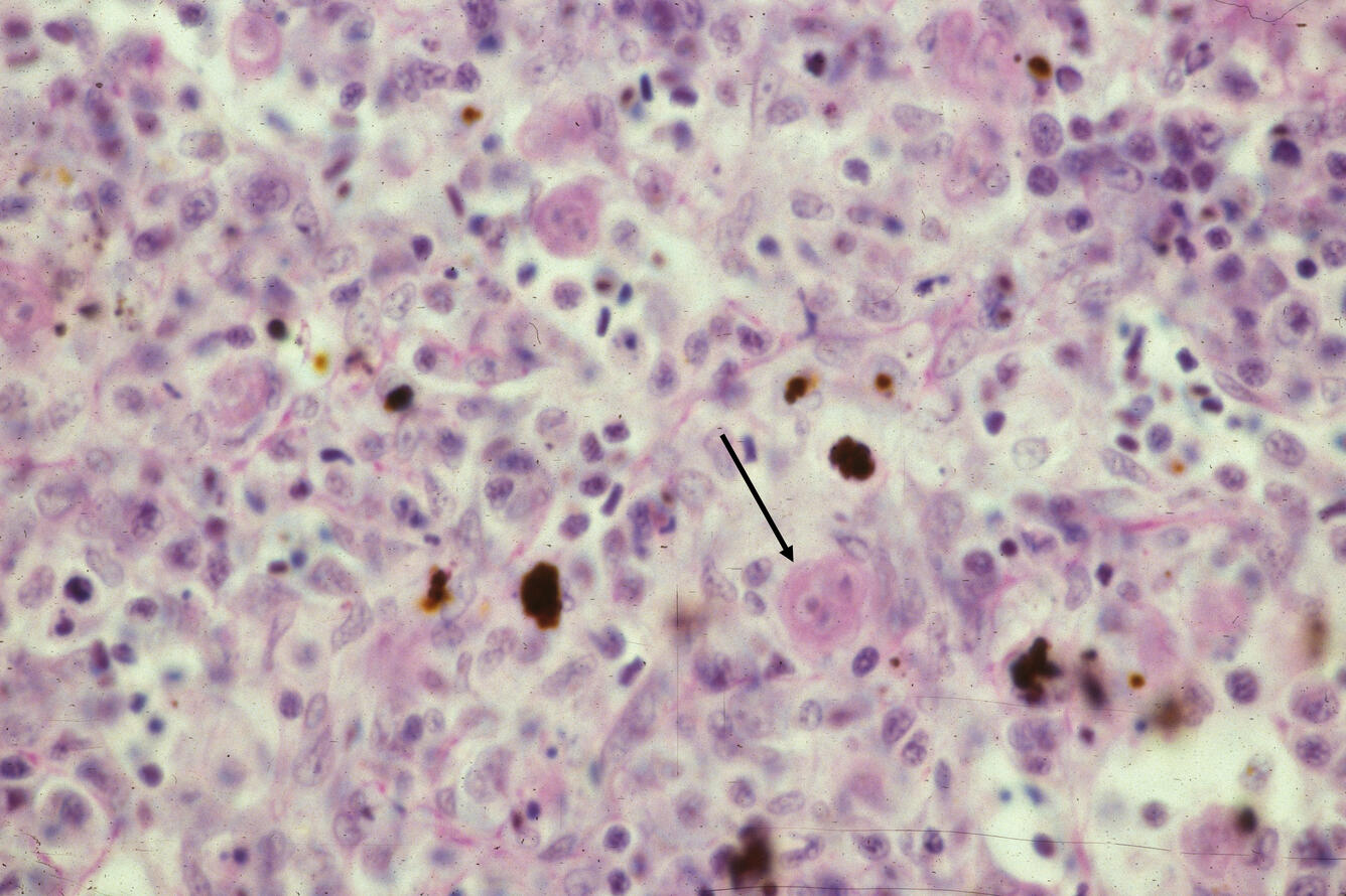
Plate 15, Figure 43, Proliferative kidney disease (PKD)

Detailed Description

Plate 15, Figure 43: PKD infected 5-month-old rainbow trout kidney showing several T. bryosalmonae. Note PKD organism stained light magenta when stained with PAS (periodic acid-Schiff) stain (arrow). X700. (Courtesy of C. E. Smith). 5198w x 3461h (72 dpi). 72.194 in. x 48.069 in.

Sources/Usage

Was this page helpful?