Skip to main content
U.S. flag

An official website of the United States government

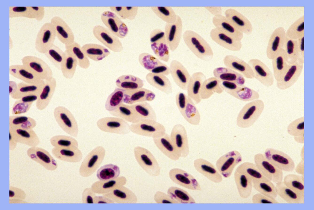
Blood smear showing P. relictum infection (stained purple) within red

Detailed Description

Blood smear showing P. relictum infection (stained purple) within red blood cells. 

Sources/Usage

Public Domain.

Was this page helpful?