Ichthyophonus parasite
Detailed Description
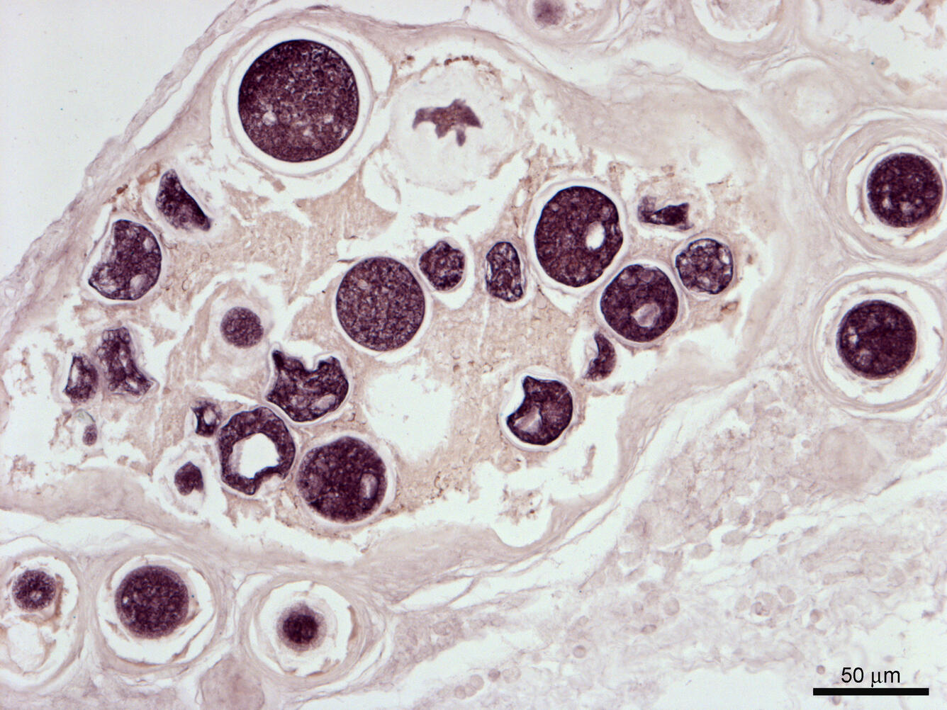
Histological sections of Pacific herring heart after CISH staining. Dark purple specific DNA staining identifies the Ichthyophonus parasite.
Sources/Usage
Public Domain.
Histological sections of Pacific herring heart after CISH staining. Dark purple specific DNA staining identifies the Ichthyophonus parasite.
Public Domain.