Plate 10, Figure 29, Myxobolus squamalis
Detailed Description
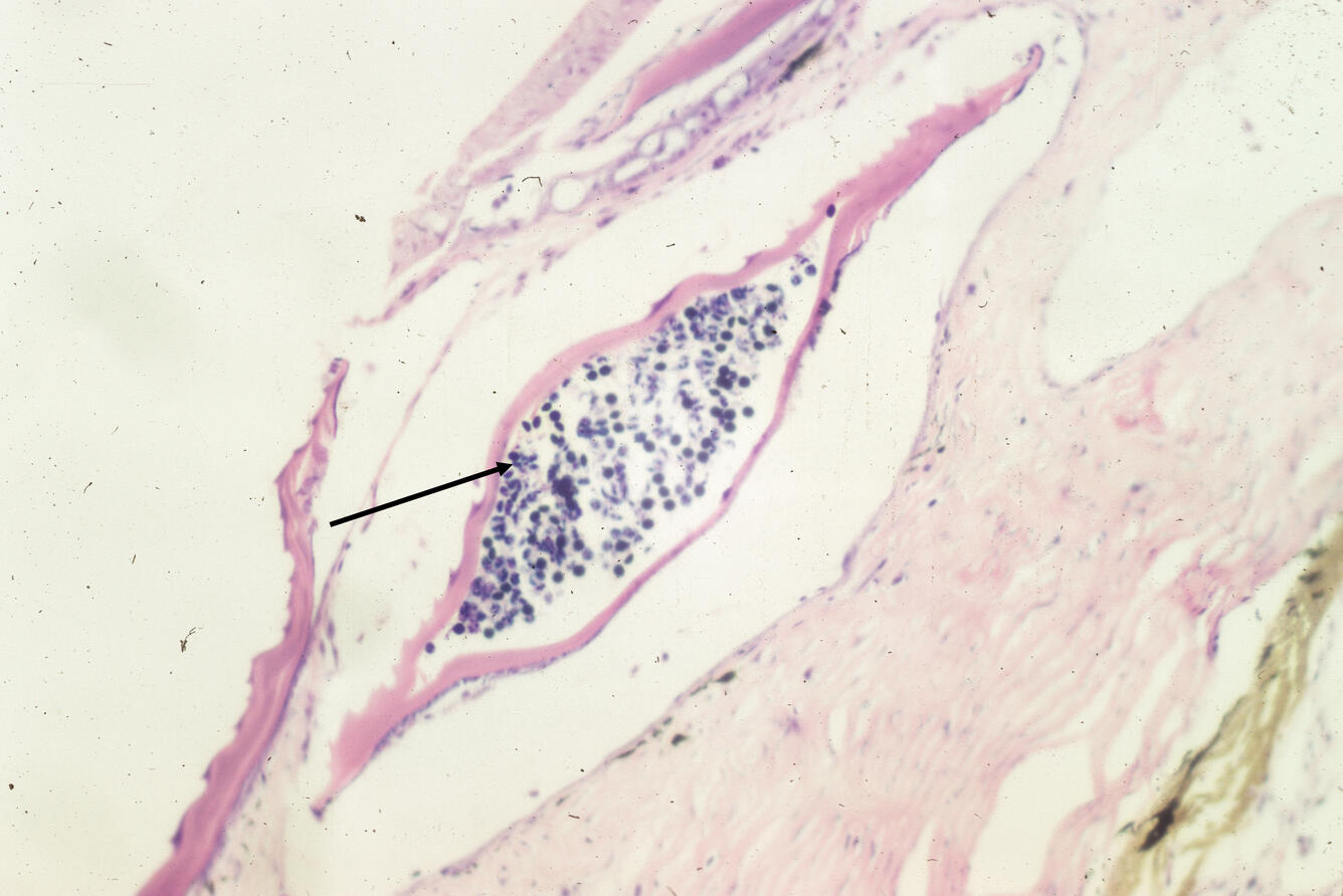
Plate 10, Figure 29: Myxobolus squamalis spores in the scale of a fingerling rainbow trout (arrow). M-G G stain. X200. 5198w x 3472h (72 dpi). 72.194 in. x 48.222 in.
Plate 10, Figure 29: Myxobolus squamalis spores in the scale of a fingerling rainbow trout (arrow). M-G G stain. X200. 5198w x 3472h (72 dpi). 72.194 in. x 48.222 in.