Skip to main content
U.S. flag

An official website of the United States government

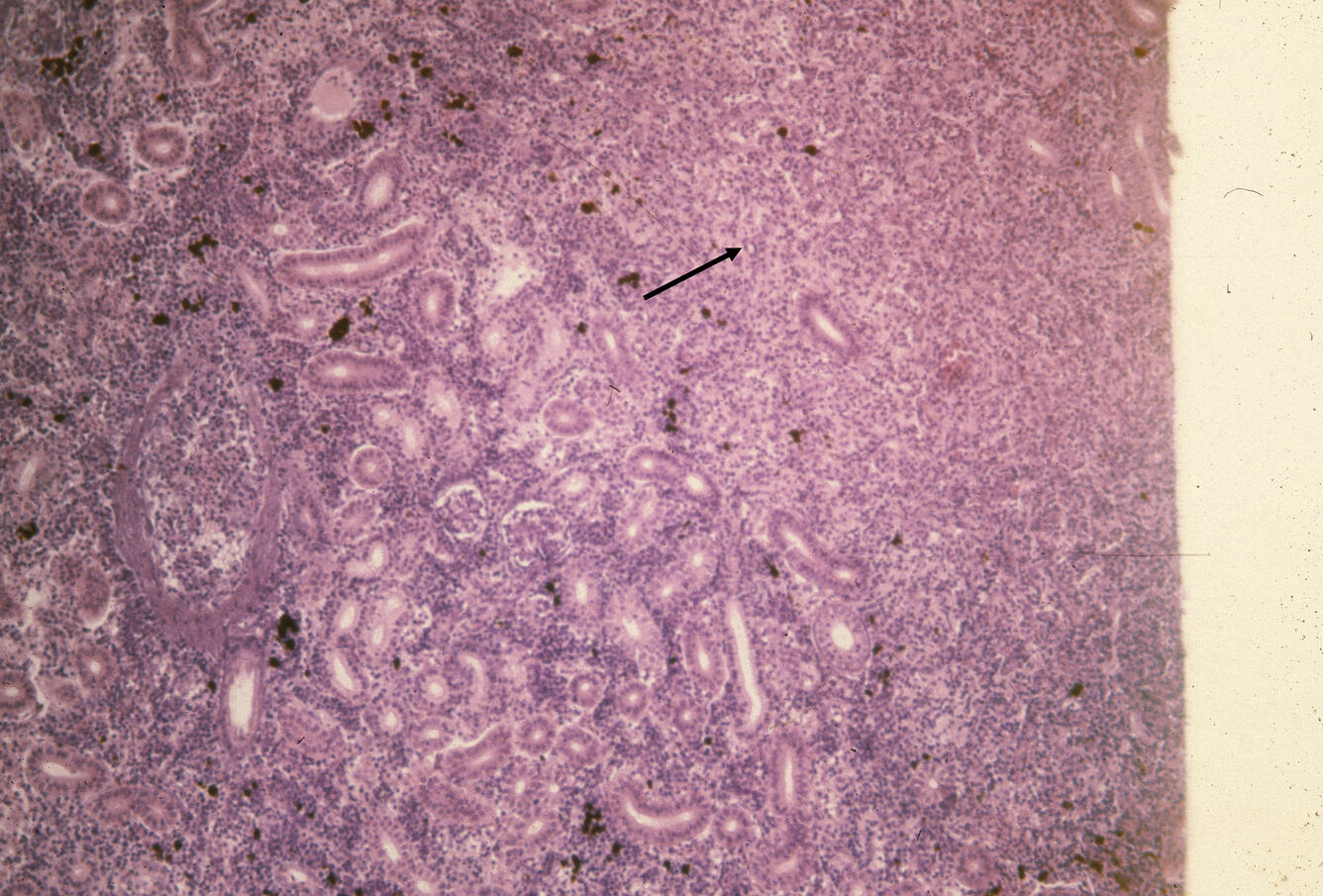
Plate 14, Figure 42, Proliferative kidney disease (PKD)

Detailed Description

Plate 14, Figure 42: PKD infected 7-month-old rainbow trout kidney showing proliferative tissue response (arrow). H&E stain. X230. (Courtesy of C. E. Smith). 5187w x 3514h (72 dpi). 72.042 in. x 48.806 in. 

Sources/Usage

Was this page helpful?