Skip to main content
U.S. flag

An official website of the United States government

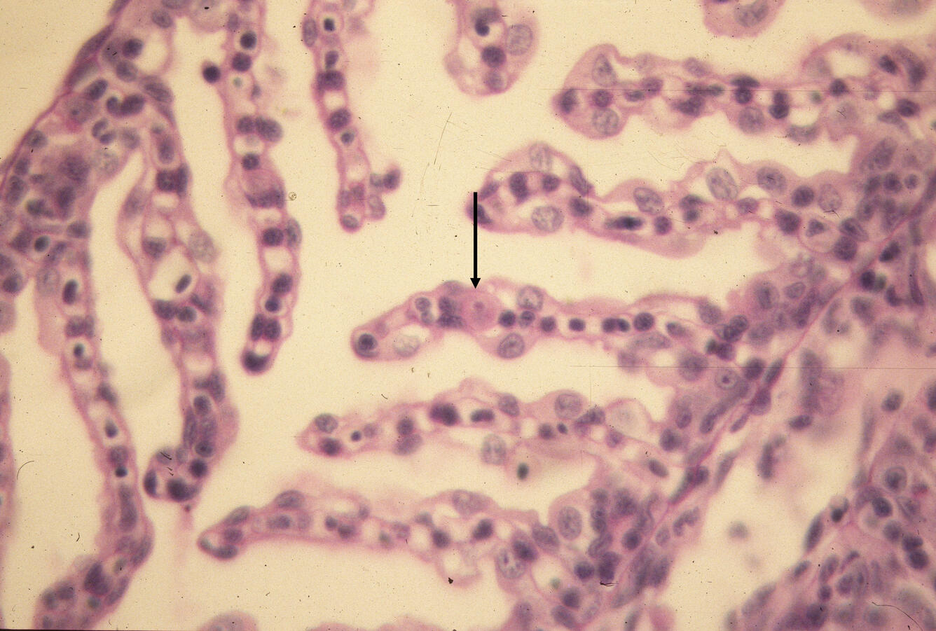
Plate 15, Figure 44, Proliferative kidney disease (PKD)

Detailed Description

Plate 15, Figure 44: PKD organism, T. bryosalmonae (arrow), in the gill lamella of an infected rainbow trout. H&E stain. X1600. (Courtesy of C. E. Smith). 5229w x 3525h (72 dpi). 72.625 in. x 48.958 in.

Sources/Usage

Was this page helpful?