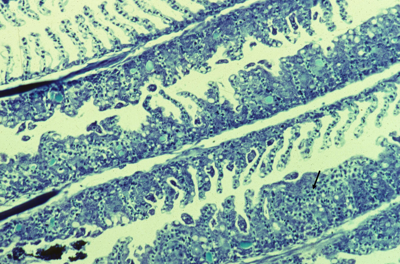
Plate 2, Figure 4, T. hoffmani
Detailed Description
T. hoffmani in gill section of a fingerling Chinook salmon. Note hyperplastic lamellar epithelium (arrow). M-G G stain. X200. Image size: 5208w x 3440h (72 dpi); 72.333 in. x 47.778 in.
T. hoffmani in gill section of a fingerling Chinook salmon. Note hyperplastic lamellar epithelium (arrow). M-G G stain. X200. Image size: 5208w x 3440h (72 dpi); 72.333 in. x 47.778 in.