Plate 22, Figure 64, Pleistophora sp.
Detailed Description
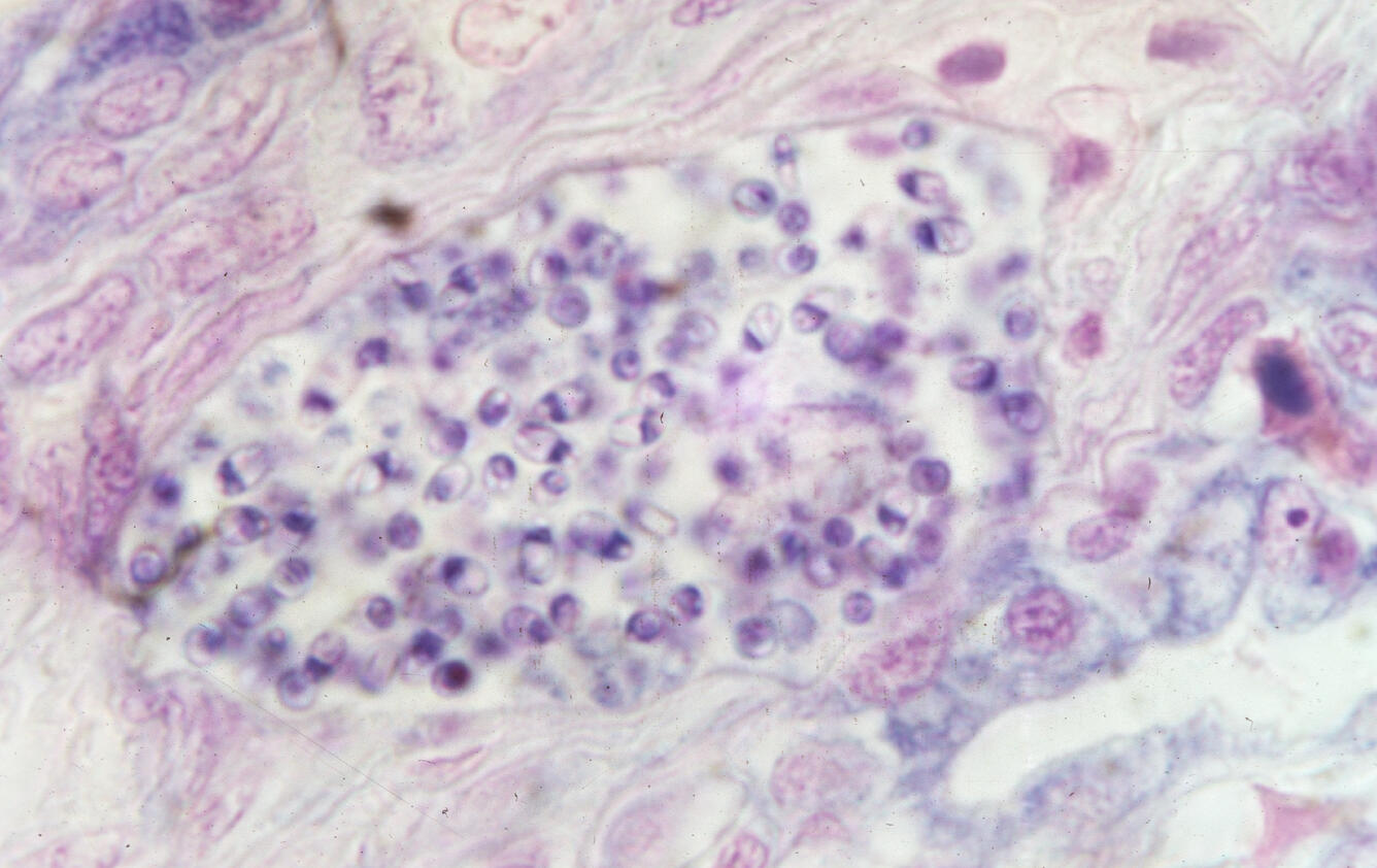
Plate 22, Figure 64: Pleistophora sp. a microsporidian, in a lamellar cyst of a 2-year-old steelhead trout. M-G G stain. X950. 3385w x 2134h (72 dpi). 47.014 in. x 29.639 in.
Plate 22, Figure 64: Pleistophora sp. a microsporidian, in a lamellar cyst of a 2-year-old steelhead trout. M-G G stain. X950. 3385w x 2134h (72 dpi). 47.014 in. x 29.639 in.