Skip to main content
U.S. flag

An official website of the United States government

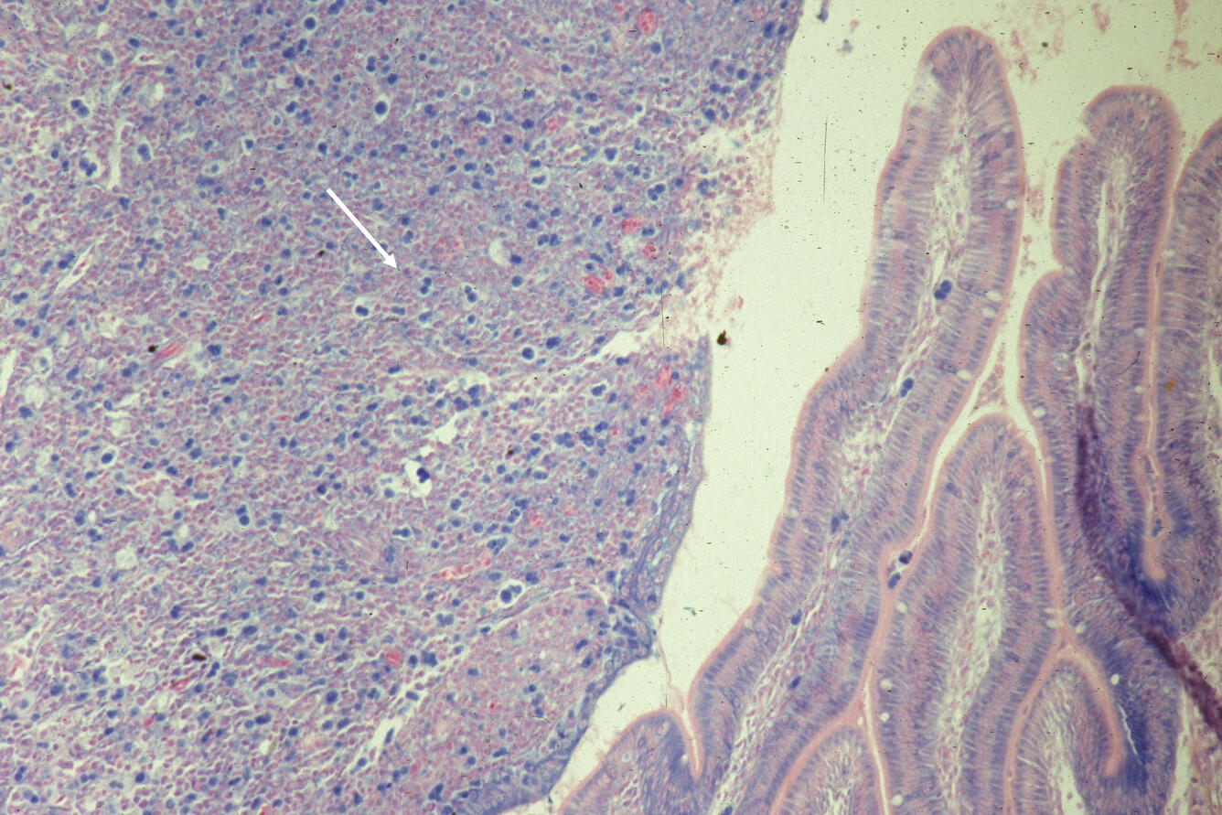
Plate 7, Figure 19, C. shasta

Detailed Description

Plate 7, Figure 19: C. shasta trophozoites in the lamina propria of a spawning coho salmon pyloric cecum. Note the extensisve inflammatory response to the trophozoites (arrow). M-M G stain. X200. 5187w x 3461h (72 dpi). 72.042 in. x 48.069 in.

Sources/Usage

Was this page helpful?