Skip to main content
U.S. flag

An official website of the United States government

Emaciation with serous atrophy of fat in a Northern Sea Otter (Enhydra lutris)

May 2025 (approx.)

Detailed Description

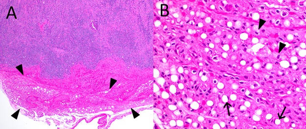
Figure 1. Photomicrographs from a Northern Sea Otter (Enhydra lutris) found dead on a beach in Alaska, USA. (A) Lymph node. Germinal centers are depleted. Adjacent mesenteric adipose tissue markedly atrophic (arrowheads). (B) High magnification of mesenteric adipose tissue. Adipocytes are shrunken, with reduced lipid storage vacuoles (arrows) or have frothy eosinophilic cytoplasm and central to eccentric nuclei (arrowheads). 

Sources/Usage

Public Domain.

Photomicrographs from a Northern Sea Otter (Enhydra lutris) found dead on a beach in Alaska, USA. (A) Lymph node. Germinal centers are depleted. Adjacent mesenteric adipose tissue markedly atrophic (arrowheads). (B) High magnification of mesenteric adipose tissue. Adipocytes are shrunken, with reduced lipid storage vacuoles (arrows) or have frothy eosinophilic cytoplasm and central to eccentric nuclei (arrowheads). 

Was this page helpful?