Skip to main content
U.S. flag

An official website of the United States government

grass carp gonadal

April 2025 (approx.)

Detailed Description

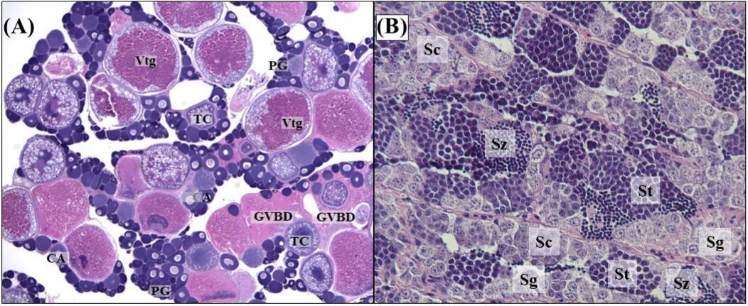
Histology of grass carp gonadal tissue.  

Sources/Usage

Public Domain.

Was this page helpful?