Skip to main content
U.S. flag

An official website of the United States government

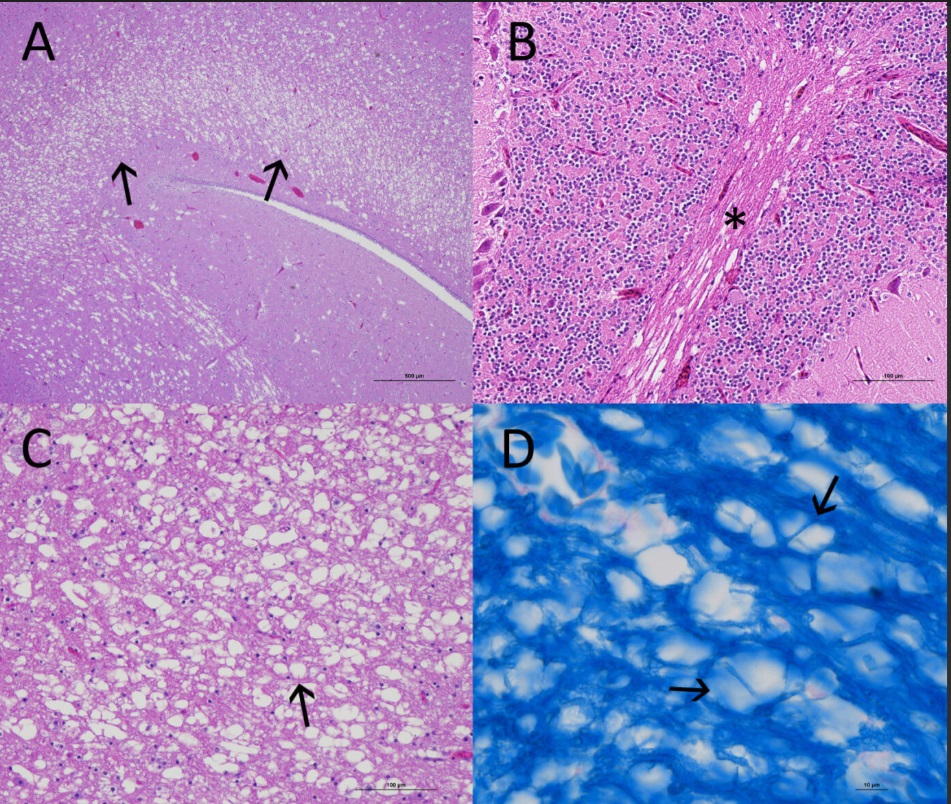
Optic lobe: Severe vacuolation/spongy degeneration of the stratum opticom and stratum album centrale of an American Coot (Fulica americana).

March 2025 (approx.)

Detailed Description

Optic lobe: Severe vacuolation/spongy degeneration of the stratum opticom and stratum album centrale of an American Coot (Fulica americana). H&E stain

Sources/Usage

Public Domain.

Optic lobe: Severe vacuolation/spongy degeneration of the stratum opticom and stratum album centrale of an American Coot (Fulica americana). H&E stain

Was this page helpful?