Skip to main content
U.S. flag

An official website of the United States government

Photomicrographs from a Canada Goose (Branta canadensis) from Ohio, USA.

June 2025 (approx.)

Detailed Description

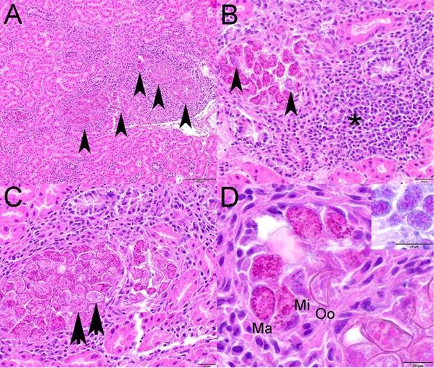
Photomicrographs from a Canada Goose (Branta canadensis) from Ohio, USA. Hematoxylin and eosin stain. (A) Renal tubules are distended with various stages of intraepithelial coccidia (arrowheads) and are surrounded by inflammation.  (B) Macrogamonts and fewer microgamonts (arrowheads) expand the cytoplasm of renal tubular epithelial cells and the affected tubule is surrounded by large numbers of lymphocytes and plasma cells and fewer macrophages and granulocytes (asterisk).  (C) Large numbers of coccidial oocysts (arrowheads) fill the cytoplasm of renal tubular epithelial cells.  (D) Macrogamonts (Ma) with peripheral PAS positive granules (inset), microgamonts (Mi), and unsporulated oocysts with a thick wall (Oo) are present in the cytoplasm of renal tubular epithelial cells.  

Sources/Usage

Public Domain.

Photomicrographs from a Canada Goose (Branta canadensis) from Ohio, USA.

Was this page helpful?