Skip to main content
U.S. flag

An official website of the United States government

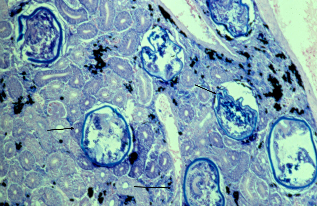
Plate 24, Figure 70, Nanophyetus salmincola

Detailed Description

Plate 24, Figure 70: Nanophyetus salmincola (commonly known as the salmon poisoning fluke) metacercariae (arrows) in the kidney of an adult coho salmon. Note minimal tissue reaction or inflammation around the parasites. M-G G stain. X150. 1568w x 1022h (300 dpi). 5.227 in. x 3.407 in.

Sources/Usage

Public Domain.

Was this page helpful?