Skip to main content
U.S. flag

An official website of the United States government

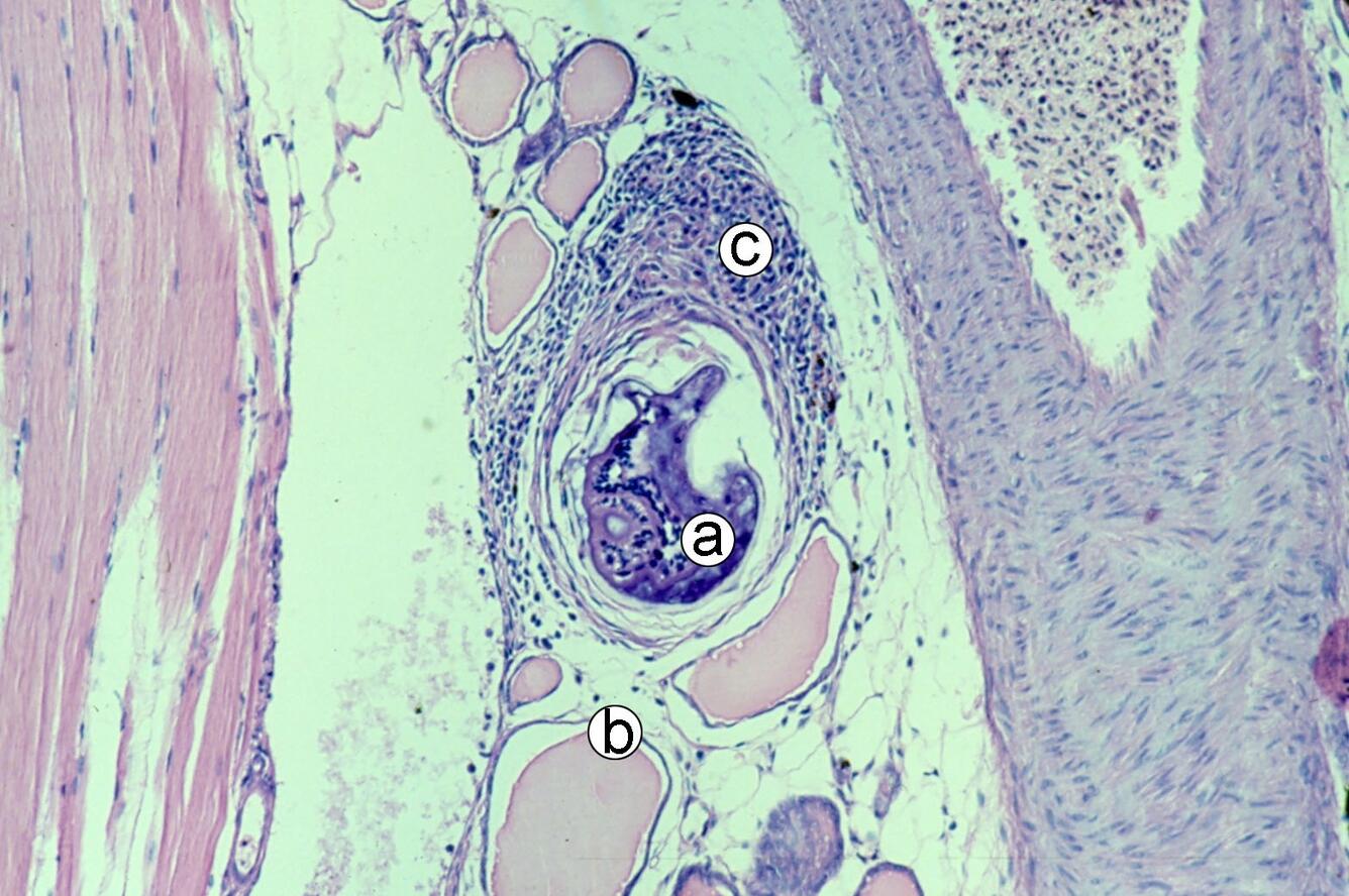
Plate 24, Figure 72, N. salmincola

Detailed Description

Plate 24, Figure 72: N. salmincola metacercaria (a) in thyroid tissue (b) area of a yearling coho salmon. Note the fibrosis and granulomatous reactions (c) adjacent to the metacercaria. H&E stain. X150. 1566w x 1041h (72 dpi). 21.75 in. x 14.458 in.

Sources/Usage

Was this page helpful?