Skip to main content
U.S. flag

An official website of the United States government

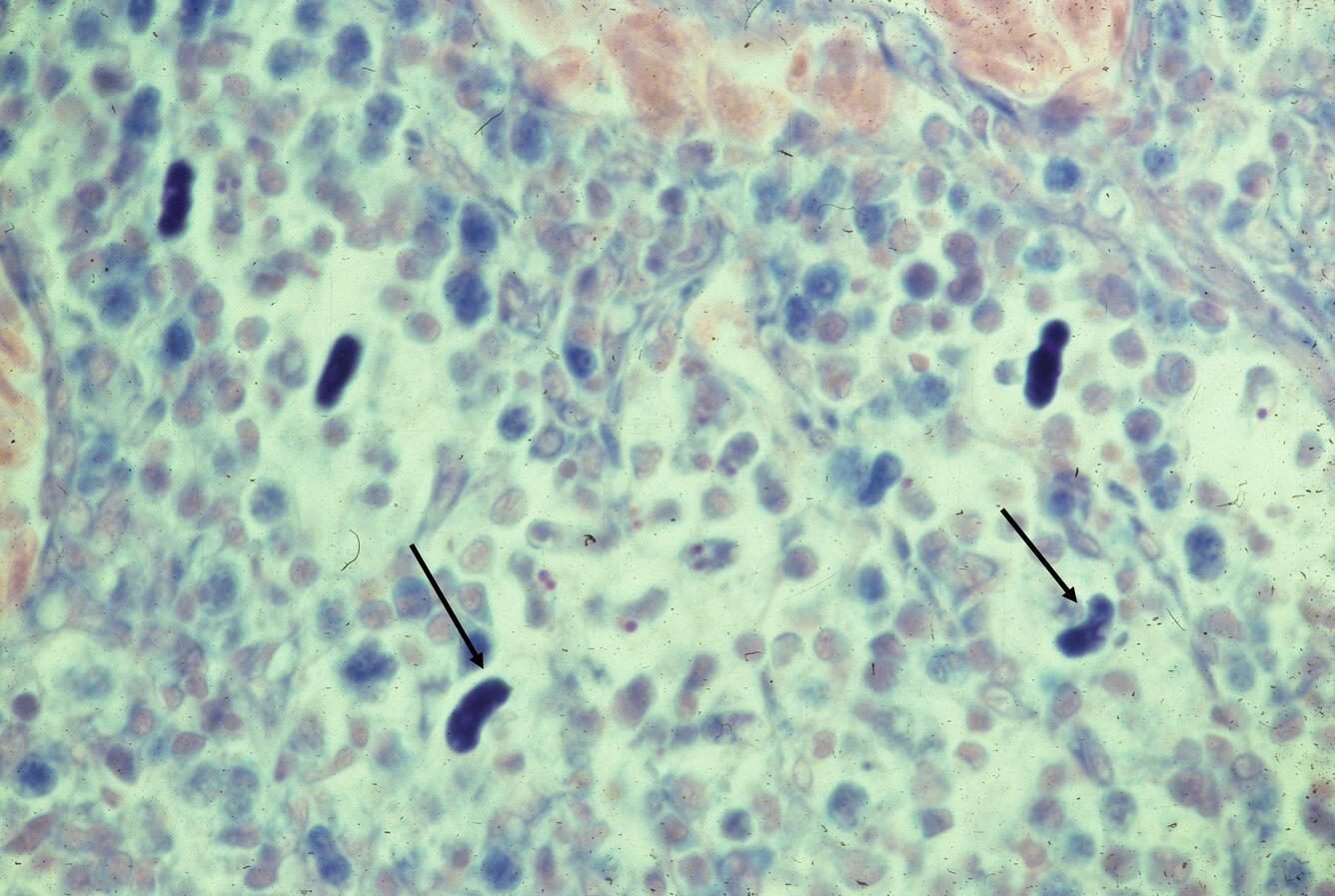
Plate 8, Figure 22, C. shasta

Detailed Description

Plate 8, Figure 22: C. shasta trophozoites and spores. Note the spores (arrows), some of which are destained enough to exhibit the paired polar capsules. M-G G stain. X640. 5219w x 3509h (72 dpi). 72.486 in. x 48.667 in.

Sources/Usage

Was this page helpful?