Skip to main content
U.S. flag

An official website of the United States government

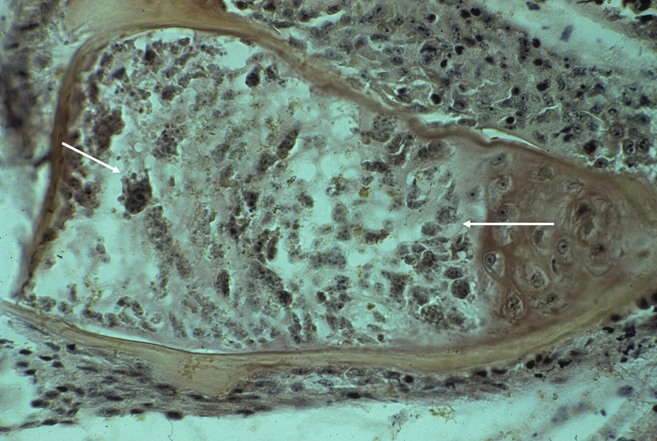
Plate 9, Figure 25, M. cerebralis

Detailed Description

Plate 9, Figure 25: M. cerebralis infected fingerling rainbow trout with various stages of trophozoites and histo- pathological changes in the cartilagenous tissue section of the gill arch (between the arrows). FeH stain. X375. (Courtesy of H. Wolf). 5208w x 3493h (72 dpi). 72.333 in. x 48.514 in.

Sources/Usage

Was this page helpful?