Skip to main content
U.S. flag

An official website of the United States government

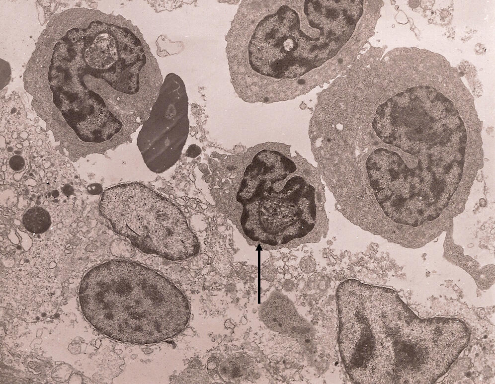
Plate 21, Figure 61, N. salmonis

Detailed Description

Plate 21, Figure 61: N. salmonis. Kidney imprint of fingerling Chinook salmon infected with N. salmonis. Note lymphocyte nucleus (arrow) with prespore stage of N. salmonis. Electron photomicrograph. (Courtesy of John Morrison). 996w x 773h (200 dpi). 4.98 in. x 3.865 in.

Sources/Usage

Was this page helpful?