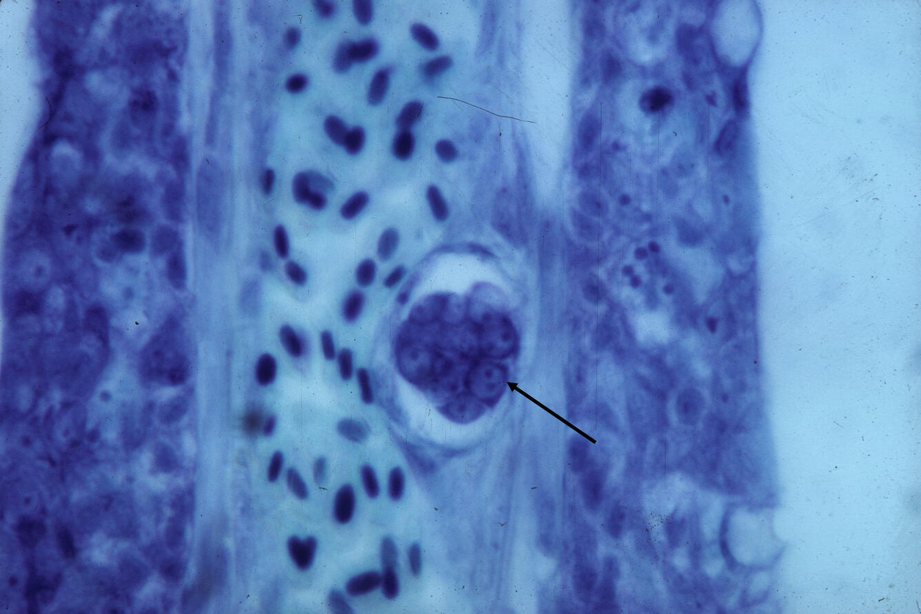
Plate 23, Figure 67, Sanguinicola sp.
Detailed Description
Plate 23, Figure 67: Sanguinicola sp. cyst (arrow) in the capillary of a gill lamella of a cutthroat trout, Salmo clarki. M-G G stain. X2400. 5280w x 3522h (4000 dpi). 1.32 in. x 0.88 in.
Plate 23, Figure 67: Sanguinicola sp. cyst (arrow) in the capillary of a gill lamella of a cutthroat trout, Salmo clarki. M-G G stain. X2400. 5280w x 3522h (4000 dpi). 1.32 in. x 0.88 in.